歯を「白く綺麗にする」のは
どの歯科医院でもできます。
しかし、「天然歯」といかに
見分けがつきにくい歯を作れるか。
これは、どの医院でも
できるわけではありません。
詰め物:2.2~6.6万円 (税込)
被せ物:13~15万円 (税込)
歯を「白く綺麗にする」のは
どの歯科医院でもできます。
しかし、「天然歯」といかに
見分けがつきにくい歯を作れるか。
これは、どの医院でも
できるわけではありません。
詰め物:2.2~6.6万円 (税込)
被せ物:13~15万円 (税込)
金属を使わず、自然な白さと透明感を再現できる審美的な治療です。セラミックやジルコニアなどの素材を使用し、むし歯の治療後や銀歯を白くしたい方に選ばれています。見た目の美しさだけでなく、金属アレルギーの心配が少ないのも特徴です。
審美セラミック治療は非常に繊細な技術を要しますので、ドクターと歯科技工士の腕と経験がものをいう治療となります。
患者様にとっては単に「白い詰め物・被せ物」を入れるだけではないのと思われるかもしれませんが、それは違います。
口元の美を獲得するための条件は、「いかに天然歯と見分けがつきにくい歯が作れるか」です。
白い歯を作ればいいというものではありません。
その歯がお口に入った時に違和感が少なく、全体との色合い・形が調和して初めて「美」の獲得ができるのです。
「人工物」と他人に見破られてしまったら、我々の敗北です。
審美セラミック治療の成功・不成功のカギを握るのは、見えるところだけではなく、
見えないところにもいかにこだわれるか。
これがポイントです。
当院が実施している「美の方程式」をこれからご紹介いたします。

審美セラミック治療とは「美」にかかわる治療になりますので、非常に繊細な治療になります。
患者様にとって残念なことは「せっかく治療したのにイメージと違う」ということです。
そうならないために、当院では、治療を行う前に患者様の「理想」をお伺いした上で、模型にて完成形をお見せしています。
この工程を踏むことで「自分の歯がどのように変わるのか」「望みどおりに本当にキレイになるのか」を事前に把握できますし、何よりも、治療後のイメージを患者様そしてドクターがしっかり把握した上で治療を進められますので「ズレ」をなくすことが可能になります。


単に白く綺麗な人工歯を作るだけが審美セラミック治療ではありません。
当院では、次の10の基準に基づき、審美セラミック治療を行っています。
歯の形態1つで口元のイメージが変化します。カウンセリングで得られた情報をもとに、形態を決定します。
体の中心ラインを「正中線」というのですが、この線に上下の歯の中心が合わさることで顔貌と口元のバランスが取れます。
笑ったときの上の歯の縁を線で結んだライン。緩やかな弧を描くほど女性的な魅力が高まり、水平になるほど男性的な印象になります。
歯は皆様が想像されている以上に複雑な形をしています。この形に近づけることにより天然歯と見分けがつきにくい歯が出来上がります。
男性・女性で理想とされている歯の形というものがあり、その中でもさらに細分化されます。あとでご紹介します。
肌の色とバランスをとりながら、美しく見える色の濃淡・深み・明度・彩度を微調整していきます。
個々人の好みによって変化しますが、一般的には年相応の歯の形・色が存在し、それに近づけることで自然な口元を演出します。
審美セラミック治療で用いる素材は様々なものがあります。お口の状態・患者様の理想によりそれらを使い分けます。詳しくは料金表をご覧ください。
形・色だけでなく、お口全体のバランスを考えた人工歯の配列・位置も大切です。
黄金比率(1.6、1.0、0.6)に基づき、配列を計算しながら治療を行うことで、バランスのとれた整合性のある形を追求します。
色々とありますが、要はこれらすべてを考慮することで、はじめてあなたに調和した、そしてオリジナルの歯が出来上がります。


「拡大鏡」「マイクロスコープ」とは、視野を数倍に拡大できる装置のことです。
審美セラミック治療では、肉眼では見えない領域に如何にこだわるかが、「歯の美しさ」「耐用年数 (どれだけ長持ちするか)」を左右します。
当院では、拡大鏡やマイクロスコープを用いた精密審美セラミック治療を提供しております。
これまでに、「せっかく自費の詰め物・被せ物を入れたのにすぐにダメになった」という方がいらっしゃいましたら、ぜひ当院にお越しください。
総合治療とは、お口全体の美しさ、健康、バランス、機能性を考慮した治療のことです。
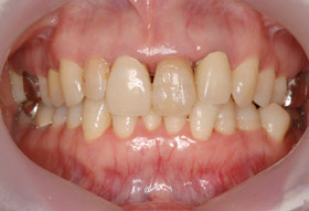
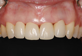
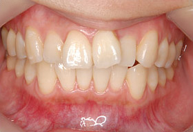
例えば、右の画像の患者様から「前歯2本を審美セラミック治療で白く、美しくしたい」というご要望があったとします。
当院では、その2本の歯にセラミックの被せ物をして治療終了とはいたしません。
なぜならば口元の美は一部の美しさだけではなく、全体のバランスを考えて初めて達成されるためです。
例えば、いくら白い歯を手に入れたいからといって、前歯2本だけ真っ白な歯にした場合どうなるでしょうか
その2本だけ色が浮いてしまい、全体美とは程遠い結果となります。
また、お口の状態によっては、そして患者様が望まれる場合、審美セラミック治療ではなく、部分矯正治療が適していることもありますし、歯肉移植術 (歯茎再生治療) やインプラント治療、矯正歯科治療も必要なこともあります。
患者様のご要望をよく伺い、全体美を考慮した治療法をご提案させていただきます。
審美セラミック治療は、歯の「色」だけでなく、「形」「歯並び」の改善も可能です。
以下、当院で治療した症例をご紹介いたしますので、治療後のイメージの参考にしていただけたらと思います。
このようなご要望にはセラミック素材の「詰め物 (インレー)」「被せ物 (クラウン)」をお勧めします。
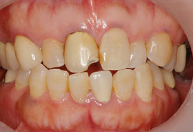
下記の画像は銀歯の詰め物 (インレー) をセラミック素材の詰め物 (インレー) に差し替えた症例です。


価格は約6.6万円(1本・税込)。
リスクとして過度の衝撃で割れることがある。
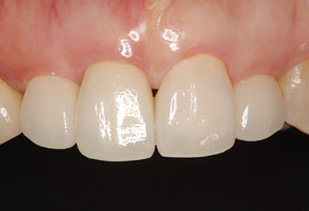
下記の画像は銀歯の被せ物 (クラウン) を、セラミック素材の被せ物に差し替えた症例です。


価格は約13.2万円(1本・税込)。
セラミッククラウンによる症例。
リスクとして過度の衝撃で割れることがある。
一口にセラミックと言いましても複数の種類があります。
詳しくは料金表に記載していますのでそちらをご参照ください。
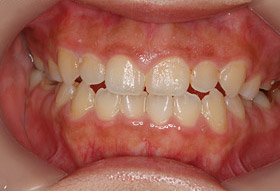
歯の隙間を改善する方法として「矯正歯科治療」をイメージされる方も多いかと思いますが、審美セラミック治療でも対応が可能です。
オールセラミック法 (セラミックの被せ物) を利用します。
下記の画像はセラミッククラウン法 (セラミックの被せ物) で「歯の白さ」と「歯の隙間」を改善した症例です。


価格は約13.2万円(1本・税込)。
リスクとして過度の衝撃で割れることがある。
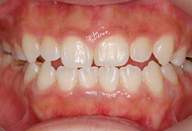
審美セラミック治療では「歯の形」も変化させることができます。
オールセラミッククラウン法 (セラミックの被せ物) を利用します。
下記の画像はオールセラミッククラウン法 (セラミックの被せ物) で「歯の白さ」と「歯の形」を改善させた症例です。


価格は約13.2万円(1本・税込)。
リスクとして過度の衝撃で割れることがある。
歯の形・歯の大きさは、あなたが思っているよりもその人の個性を際立たせます。
日本人に多いタイプで、前歯の先端が直線上にある歯と、ない歯とが混在しています。
自然な歯並びといえます。口を小さく見せる効果もあり、若々しい印象を与えます。
白人に多いタイプの歯並びで、前歯の先端がすべて直線上にあるので、口元をくっきりと強調することができます。
日本人の女優さんに多いタイプの歯並びです。
前歯の先端はすべて直線上にありますが歯と歯に多少の重なりがあることが特徴です。
出っ歯を治したい人、女性的な印象をもっと強調したいという人に向いていると言われます。
下唇のラインと前歯のラインが平行になっているのが特徴です。
世界的に好まれる並びで、ハリウッドスマイルとも呼ばれています。
このように「歯の形」「歯の大きさ」の微妙な違いによって、その人の印象を変えてしまう事があります。当院では、このようなことも考慮した上でのご提案・治療を行っております。
タバコ、コーヒー、お茶、ワイン、カレーなど飲食物には着色しやすいものがあります。
審美セラミック治療でも対応可能ですが、より手軽にできるものに「ホワイトニング (薬剤を使った治療)」がありますのでそちらをご紹介します。




価格は約2.2万円 (税込)。ホワイトニングによる症例。
リスクとして、治療中に若干しみることがある。
ホワイトニングに関しての詳細はホワイトニングをご参照ください。
「審美セラミック治療とホワイトニングでは何が違うのですか?」というご質問を患者様からよく受けます。「歯を白く綺麗にする」ことは同じなのですが、その「やり方」が異なります。審美セラミック治療とは、詰め物・被せ物を用いて「歯の色」「歯の形」「歯並び」をより美しくするための治療です。
ホワイトニングと異なり、「後戻り」することはなく、白さは永続的に持続します。
しかし、詰め物・被せ物を用いた治療となりますので、「歯を削る」必要があることがホワイトニング (薬剤を利用し歯を削りません) と異なる部分です。
当院では審美セラミック治療やホワイトニング以外にも、歯肉を綺麗なピンク色に戻す「ガムピーリング」、神経が失われたことで黒くなってしまった歯を白くする「ウォーキングブリーチ」なども行っています。
それぞれご紹介します。
当院では、患者様が抱えていらっしゃるお口のお悩みや疑問・不安などにお応えする機会を設けております。どんなことでも構いませんので、私たちにお話ししていただけたらと思います。ご興味がある方は下記からお問い合わせください。
※ Mailでのご相談は、こちらからお願いします。
