ホワイトニングのプロ、
ホワイトニングコーディネーター
による施術。
あなたの理想とする
歯の白さをプロデュース。
ホワイトニングのプロ、
ホワイトニングコーディネーター
による施術。
あなたの理想とする
歯の白さをプロデュース。

当院で行うホワイトニングは、日本審美歯科学会認定のホワイトニングコーディネーターが担当します。
ホワイトニングのプロです。









ホワイトニング処置はもちろん、治療前の処置、治療後のコンサルテーションに長けたスタッフですので、安心してホワイトニングを受けていただけます。
また、当院では、治療前と治療後にお口の写真を撮影しますので、どのくらい白くなったのかを実感していただくことが出来ます。


当院では歯を白くするホワイトニング以外にも、歯肉を綺麗なピンク色に戻す「ガムピーリング」、歯の白さだけでなく形も整えたい方のための「セラミック治療」なども行っています。
それぞれご紹介いたします。
歯科医院でホワイトニング用のマウスピースを作製し、それにホワイトニング剤を入れ、ご自宅で行うホワイトニングです。

診療、歯の色を確認
専用マウスピース(薬品を入れるための装着具)を制作

歯のクリーニング
自宅での使用方法の説明

自宅にて、マウスピースを用いてホワイトニング
オフィス・デュアルホワイトニングと比べ、白くなるまでに時間がかかり、白さの度合も若干落ちてしまいますが、白さの持続期間がオフィスホワイトニングと比べ長いのが特徴です。


当院でご紹介しているホワイトニングシステムは他社のホームホワイトニングシステムと較べ、薬剤ジェルがマウスピースから漏れにくく、使用中のお口の中の不快感が非常に少ないことが特徴です。
また、歯にとても優しい成分を使用していますので、治療中の知覚過敏を起こしにくいという特徴も併せ持ちます。
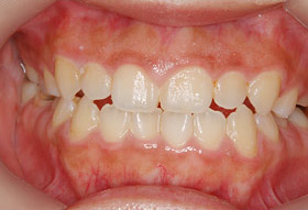
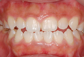
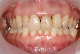
当院で実施したホワイトニング症例をご紹介します。








価格は38,500円 (税込)。ホワイトニングによる症例。
リスクとしては、治療中に若干しみることがある。
1.当医院にて歯石の除去等を行ない、お口の中をキレイに清掃します。
ホワイトニングは、虫歯や歯周病のない状態で行う治療です。
大きな虫歯があった場合は、ホワイトニングの薬液によって、痛みが誘発されて治療できません。歯周病があった場合は、歯茎からの出血により、血液が混じって薬液の効果が出ません。そのため1回目は口腔内診査(歯石除去&PMTC)及びカウンセリングや食事制限の説明をいたします。これにより本来の歯の色に戻ります。
2.歯型を採り、患者様の歯並びに合ったマウスピースを作ります。
3.そのマウスピースを一度合わせてみて、薬剤の使い方や1日の使用時間などの説明を受けて帰宅します。
4.変色の程度にもよりますが、1日1.5時間以内で、約2週間続けます。
5.1週間に一度来院していただき、歯の状況やマウスピースが変型していないか定期的にチェックしてゆきます。
光に反応するホワイトニング剤を歯に塗り、歯科医院にて施術を行います。
治療前の歯の色をチェック
歯のクリーニング、歯垢、歯石、着色の除去
白くしたい部分に薬剤を塗り、光を当てる
ホームホワイトニングと比べ、白さの度合いが高く、かつ短期間で理想の白さが手に入りますが、白さの持続期間は短いのが特徴です。



オフィスホワイトニングは「オパールエッセンスBOOST」を採用しております。
その大きな特徴は約1時間の施術でスピーディに結果を得られることです(個人差あり)。また白さにムラがないこと、知覚過敏になりにくいこと、歯質を強化できること等のメリットもあります。








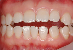
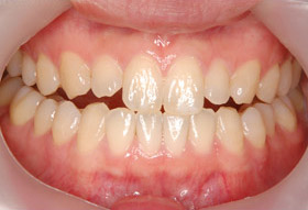
価格は約22,000円 (税込)。ホワイトニングによる症例。
リスクとしては、治療中に若干しみることがある。
1.当医院にて歯石の除去等を行ない、お口の中をキレイに清掃します。
2.歯を白くする薬剤を塗り、特殊な光を照射し、薬剤を除去します。
この流れを2~3回繰り返します。

3.歯の色を確認 (シェードチェック) して終了です。


デュアルホワイトニングとは、「オフィスホワイトニング」の後、「ホームホワイトニング」をすることで、オフィスホワイトニングメリット (短期間で白くなる、白さの度合いが高い) と、ホームホワイトニングのメリット (白さの持続期間が長い) を両面持ったホワイトニング手法です。


価格は約5,500円 (税込)。ガムブリーチングによる症例。
リスクとしては、治療中に痛みが生じることがある。
喫煙される方の多くは歯茎が黒ずんでいますが、これはメラニンによるものです。
メラニンは刺激から身体を守ってくれる色素であり、喫煙者の歯茎が黒いのは、タバコの煙に含まれる刺激から守るためにメラニンがたくさん生産されることに原因があります。
また、歯茎が黒ずむ原因は喫煙だけではなく、被せ物に使用される金属が溶け出し歯肉に沈着してしまう事でも引き起こされます。
上記のようなことが原因で黒ずんでしまった歯茎の色は、特殊な薬剤を利用することで改善し、元の綺麗なピンク色まで近づけることが出来ます。


価格は約132,000円 (税込)。セラミッククラウンによる症例。
リスクとしては、過度の衝撃で割れることがある。
良く患者様から「ホワイトニング」と「審美セラミック治療」の違いについて質問されます。
「歯を白くする」という目的は同じですが、その「やり方」と「白さの効果」、またその他の効果も異なります。
詳細は白い詰め物・被せ物をご参照ください。
| 治療方法 | 薬剤を反応させて歯を白くします。 |
|---|---|
| 効果 | 時間が経過すると後戻りします。 稀に知覚過敏の症状が出ることがありますが、直ぐに治ります。 |
| 他の効果 | 特になし |
| 治療方法 | セラミックの詰め物・被せ物を利用。 ホワイトニングと異なり、歯を削る必要があります。 |
|---|---|
| 効果 | 白さは永続的に持続します。 |
| 他の効果 | 歯の形、歯並びも同時に改善できる。 |
当院では、患者様が抱えていらっしゃるお口のお悩みや疑問・不安などにお応えする機会を設けております。どんなことでも構いませんので、私たちにお話ししていただけたらと思います。ご興味がある方は下記からお問い合わせください。
※ Mailでのご相談は、こちらからお願いします。
