根管治療

診療時間

平日:09:00 ▸ 13:00 / 14:00 ▸ 18:00

土日:09:00 ▸ 17:00

※ 休診日:祝日

  • 土日診療 お忙しい方も!
  • 八王子駅5分 駅チカ便利
042-646-6665
キービジュアル

経験と勘ではなく、

マイクロスコープを利用し、

しっかり「目で確認」して治療する
精密根管治療

1回1時間11,000円(税込)

院長

アイボリー歯科では、先端技術を利用した「根管治療 (根っこの治療・神経の治療)」を実施しております。

虫歯が進行すると、歯の神経(歯髄)まで達します。
こうなってしまうと虫歯菌が感染した神経を取り除き、根管(神経が入っている管)を綺麗に清掃してから被せ物をする治療を行います。

一見簡単な処置のように思えますが、「根管を綺麗に清掃する作業」は非常に困難を極めます。
なぜなら、根管は非常に複雑に入り組んでおり、しっかり清掃を行わなければ、「痛み」「腫れ」などの原因となり、「根尖病巣」という病気にもなるためです。
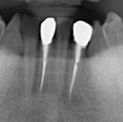
下の画像ですが、「黒い部分」が神経の入っている管であり、このすべてを綺麗に清掃する必要があります。

レントゲン

以前までは、「肉眼」でこの治療をしていました。
少し考えればわかると思いますが、「肉眼」ではこの細かい部分をすべて確認しながらしっかり作業することは不可能です。
つまり、従来法の根管治療とは「勘」や「経験」に頼った治療で、時には再治療そして「抜歯」の選択を迫られることも多々ありました。

しかし、マイクロスコープ (歯科用顕微鏡) を利用することで、今まで見えなかったものが見えるようになり、しっかり目で確認しながらの治療が可能になりました。

マイクロスコープ (歯科用顕微鏡) を含め、当院で実施している根管治療の特徴をご紹介いたします。

アイボリー歯科式 精密根管治療のご紹介

特徴1治療精度を飛躍的に高める「マイクロスコープ」

マイクロスコープ (歯科用顕微鏡) とは、その名の通り、治療部位を拡大する機器です。
根管治療においては、どれだけしっかりと問題部位を確認できるかが成功の成否を分けますので、成功率を上げるためには絶対に欠かすことができない機材です。

マイクロ

下の画像が「肉眼」で見た状態と、「マイクロスコープ」で見た状態の視野になります。
どちらの方が精度の高い治療ができるかは一目瞭然ですね。
当院でマイクロスコープを導入することにより、「抜歯」という最悪のシナリオを避けられる可能性が飛躍的に高まりました

当院で処置した症例をご紹介します。
他院で抜歯と言われてしまった歯でも抜歯せずに対処した症例も多数あります。
黒い影が出ている部分が問題の個所(根尖病巣)で、治療後はこの影がなくなっているのが見て取れると思います。

  • 治療前
  • 治療後
  • 治療前
  • 治療後
  • 治療前
  • 治療後

保険適用。根尖病巣を治療した症例。
リスクとして、稀だが再発することがある。

特徴2根管治療になくてはならない「ラバーダム防湿」

ラバーダム防湿は、根管治療を成功させるためには必須のものです。

ラバーダム防湿

ラバーダム防湿とは、治療する歯以外を薄いゴム製シートで覆いかぶせて口腔内の唾液の流入や細菌の治療部位への感染を防止する道具です。
ラバーダムを使用することで、様々な口腔内細菌が根管に侵入するのを防ぎ、無菌的な処置を行うことが可能になります。
逆を言えば、ラバーダム防湿を行わないで行う根管治療は細菌感染の可能性が高まり、再治療の原因ともなります。

根管治療でラバーダム防湿を行うことは欧米では必須の処置となります。
当院で行う根管治療はラバーダム防湿をしっかり実施しておりますので安心していただけたらと思います。

特徴3機能性が高いニッケルチタンファイルの利用

ニッケルチタンファイル

根管治療では、虫歯に侵された神経を除去するために「ファイル」と呼ばれる器具を使用します。
このファイルは大きく分けて二種類あり、ひとつが「ステンレスファイル」もうひとつが「ニッケルチタンファイル(NiTiファイル)」というものです。
多くの歯科医院ではステンレスファイルのみを使用していますが、当院では十分な柔軟性を持ち、より神経を除去できるニッケルチタンファイルも同時に導入しています。
これにより、患者様の歯を残すための精密根管治療が可能となります。

特徴4根管を傷つけず、かつ、正確に治療を進めるための「根管長測定器」

根管長測定器

根管治療をする際、根管内の深さを正確に知る必要があります。
当院ではこの深さを把握するため、根管長測定器というものを利用しています。
これは根尖(根の先っぽ)までの距離が非常に正確に計測できる優れものです。

特徴5再感染リスクを抑える「垂直加圧方式」

神経の管の中にある細菌を綺麗に取り除いた後は、根管の先に薬を充填していきます。このとき、薬を充填する方法には、大きく分けて2つの方法があります。
「側方加圧方式」と「垂直加圧方式」です。

  • 側方加圧根管充填法

  • 垂直加圧根管充填法

側方加圧方式ですと「固体」の状態で薬を詰めていきますので、どうしても根管内に「隙間」が生じやすくなり、その部分から再感染の可能性が高まります。
垂直加圧方式ですと「半固体」の状態で薬を詰め、また、垂直に薬を詰めていきますので、「隙間」が生じにくく、再感染リスクを低くすることができますので、当院では「垂直加圧方式」を採用しています。

初診「個別」相談へのご案内

当院では、患者様が抱えていらっしゃるお口のお悩みや疑問・不安などにお応えする機会を設けております。どんなことでも構いませんので、私たちにお話ししていただけたらと思います。ご興味がある方は下記からお問い合わせください。

※ Mailでのご相談は、こちらからお願いします。

web予約

〒192-0081
東京都八王子市横山町7-5
スペースワンビル2F Google マップで確認
  • 042-646-6665

このページの先頭に戻る