矯正専門家による、
成人矯正・小児矯正。
治療中、虫歯・歯周病を防ぐための
システムが確立されています。
矯正歯科治療は公的医療保険適用外の自費(自由) 診療となります。
矯正専門家による、
成人矯正・小児矯正。
治療中、虫歯・歯周病を防ぐための
システムが確立されています。
矯正歯科治療は公的医療保険適用外の自費(自由) 診療となります。
当院では専門教育を受け、しっかり臨床経験を積み、矯正歯科を専門に行う歯科医師が月3回来院し治療を担当します。
また、矯正治療を「専門」に行っている医院と異なり、当院では虫歯治療や歯周病治療も行っていますので、矯正治療を行う前の初期処置(虫歯治療や歯周病治療)、矯正治療中の虫歯予防・歯周病予防が適切に対処できます。
矯正専門で行っている医院は、これらに十分に対応していないところが多いため、虫歯や歯周病に関しては、他の医院で処置する必要があり、患者様への負担が多くなることがあります。
矯正治療中は「器具」をお口の中に入れますので、汚れが付きやすく、虫歯や歯周病になってしまう可能性が高まります。
せっかく歯並びが綺麗になったのに、虫歯や歯周病になってしまい、お口の「審美性」「機能性」がおかしくなってしまったら本末転倒ですよね。
「歯を綺麗に並べる」という基準だけではなく、「虫歯や歯周病を防ぐための処置をしっかりできるのか」も1つの判断基準として医院選びをしていただくことを強くお勧めします。

| お名前 | 喜田 壮馬 |
|---|---|
| 血液型 | B型 |
| 星座 | おひつじ座 |
| 趣味 | ライブ イベント全般 |
| 出身大学 | 東京医科歯科大学 |
矯正治療は、見た目は勿論、噛む機能も治すものです。
それは大人であっても子共であっても同じことです。
気づかないうちに、機能的な問題が悪い方へ進んでいってしまうこともあります。
まずは気軽に相談にいらっしゃってください。
不安や心配事がありましたら気軽にご相談ください。
次節から「成人矯正」と「小児矯正」に関して当院の方針をご紹介させていただきますので、下記の興味のある項目のボタンを押し、ご覧ください。
矯正治療を望まれる成人の方からよくご相談を受けるのは「仕事をしているので、できれば目立ちにくい矯正装置を付けたい」「なるべく歯を抜かないで矯正をしたい」などです。
これらのご要望に対して当院では何ができるのかをこれからお伝えいたします。
皆様がイメージされている矯正装置は下の画像のように金属色が目立つものだと思います。
この金属色が気になり、なかなか矯正治療に踏み出すことができなかった方も多かったと思います。
当院では金属色の部分を半透明にした装置を利用しておりますので、「金属色」に抵抗があった方でも安心です。

金属色

目立ちにくい半透明
「可能な限り歯を抜かないで治療をしてほしい」というご要望を患者様から頂きます。
確かに可能な限り歯を抜かずに矯正したいですよね。歯の大切さを理解している私たちも同じ意見です。
しかし、綺麗な歯並びや噛み合わせを作り出すには、また、長期的にその状態を維持するためには歯を抜いた方が良い場合もありますので、
「非抜歯矯正」を望まれる方はまずはお口の中を拝見させていただき、抜歯で対応するのか、非抜歯で対応するのかをお伝えさせていただております。

親御さんにお伝えしたいことは、少しでも歯並びが気になりだしたら、治療するしないにかかわらずまずはお子様のお口を見せてくださいということです。早い時期にしっかりとした検査を行う事でお子様にとって理想の治療時期を予測することができたりもしますし、矯正治療ではなく、咬合誘導と呼ばれる簡易な治療で対応できることもあります。
子供の歯から大人の歯に生え替わるとき、ささいなボタンのかけ違いで歯並びが悪くなってしまうことがあります。
その徴候を早めに見つけることで、効率的に歯並びを整えることが可能となります。これを「咬合誘導」と言います。
咬合誘導は大人の歯がすべて生えてからの矯正とは違い、抜歯したり、歯を動かしたりといったものではありません。
早い時期に適切な咬合誘導を行うことで、歯並びが安定して後戻りしにくくなり、場合によっては本格矯正治療が必要なくなることもあります。
均整のとれた適切な歯並びは「見た目」だけでなく、「集中力や持続力」などお子様の生活全般のレベルアップも期待できるという研究報告が出ていますので、歯並びがおかしいなと思ったら、治療するしないに関わらず、まずはお気軽にご相談いただけたらと思います。
また、当院で矯正治療を行う際は、大人の治療とは異なり、お口の状態に合わせて様々な装置を利用します。
よく利用しているのが「床矯正」という手法です。
これは、歯並びを改善するのではなく、永久歯が適切に生えてくるスペース(顎の幅)を作り出す治療となります。
その他、受け口のお子様には「ムーシールド」という装置を利用することもあります。
お子様のお口の状況に合わせて適切な装置をご紹介させていただきます。
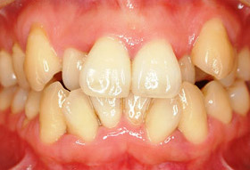
さて、矯正治療が必要と言われる歯並びはどのようなものがあるのでしょうか?
代表的な歯並びを当院で治療した症例をお見せしながらご説明します。
皆様が良く知っている歯並びですね。上顎の前歯が下顎の歯よりも大きく前に出ている歯並びです。
奥歯が噛んでいるのにもかかわらず、前歯が噛んでいない歯並びです。
下顎が上顎よりも前に出ている歯並びです。
歯が様々な角度で生えてデコボコになってしまっている歯並びです。
いかがでしたでしょうか?
特にお子様の歯並びの場合、親御さんが「矯正した方がいいかな?」と思った時は、適切な治療開始時期を逃してしまっていることが多々ありますので、大人の歯 (前歯) が生えてきたら、治療するしないにかかわらず一度ご相談にお越しください。
また、不必要な治療をお勧めすることもありませんので、ご安心ください。
プロの目で診断することで、今後どのように歯が動いていくのかを予測できますので、治療が必要になるか否か、治療開始時期はいつ頃がいいかなどをお話しさせていただきます。
お悩みやご希望をお伺いきします。
![]()

精密検査の結果をもとに、矯正治療全般に関して詳しくご説明をいたします。
少しでも疑問点がございましたら、再度ご説明し納得いただいたうえで、治療を開始するかどうかのお返事をいただきます。
もちろん、この段階で治療を受けないという選択をしていただいても全く構いません。
受験や就職活動といった大事な時期と重なりそうな場合でも、患者様と話し合い適切なプランを立案するように心がけています。
![]()
歯に装置をつけ、歯に力を加え始めます。
![]()
歯を動かす期間は1~3カ月に1回通院していただきます。
![]()
矯正装置を外します。但し、そのまま外しただけですと「後戻り」という現象を起こすため、保定装置(取り外し可能な装置)を装着していただきます。
※保定装置は症例にもよりますが、約1年~3年間(通院は6カ月~1年に1回程度)主治医の指示に従って使用していただきます。
使用しないと後戻り(歯並びが悪い状態に戻ること)を起こし、再度矯正をする必要が出てきます。
![]()
保定装置の使用を確認後、当院のメインテナンスを定期的に受診していただき、保定装置を終了する時期まで、経過を観察していきます。
歯列矯正はメリットが多いですが、リスクと副作用に存在します。具体的には以下です。
当院では、患者様が抱えていらっしゃるお口のお悩みや疑問・不安などにお応えする機会を設けております。どんなことでも構いませんので、私たちにお話ししていただけたらと思います。ご興味がある方は下記からお問い合わせください。
※ Mailでのご相談は、こちらからお願いします。
